Articole publicate de Echipa DC Medical
BREAKING NEWS Incendiul de la Matei Balș. Ministrul Sănătății: este clar o problemă: vorbim despre institutul cel mai bine finanțat
EXCLUSIV Dan Zaharescu, legea vaccinării: este într-o fază finală
EXCLUSIV Dan Zaharescu, ARPIM: e extrem de importantă o comunicare COERENTĂ legată de vaccinuri
EXCLUSIV Vaccinuri compensate sau gratuite pentru bolnavii critici? Dr Gindrovel Dumitra: am solicitat în repetate rânduri
EXCLUSIV Campania anti-COVID, cu medicii în prim plan. Marius Geantă: trebuie să învățăm din criza anterioară
EXCLUSIV Prof dr Doina Azoicăi: vaccinurile sunt victimele propriului lor succes
Rafila despre Legea vaccinării: nu cred că nu ar trece în acest moment
Profesorul Alexandru Rafila, reprezentantul României la OMS, consideră că legea vaccinării ar putea trece în Parlament.
EXCLUSIV Alexandru Rafila: unii concetățeni, în loc să se vaccineze, sunt gata să ia medicamente de uz veterinar
EXCLUSIV Diana Păun: campania de vaccinare anti-COVID este un succes
Peste 900.000 de români, vaccinați împotriva COVID
Mort la 37 de ani de COVID. Primarul din Alba nu era cunoscut cu comorbidități
Dan Cosmin Opruța, primar într-o comună din județul Alba, a murit de COVID-19 la 37 de ani.
COVID, boală sezonieră? Cercetător: Mutațiile sunt afectate de alți factori decât temperatura sau latitudinea
O cercetare realizată de americani în 221 de țări susține că infecția COVID ar putea fi o boală sezonieră, asemeni gripei.
BREAKING NEWS Persoane chemate la vaccinare împotriva COVID înainte să le vină rândul la Spitalul Buftea. Ministrul Sănătății: e frustrant
BREAKING NEWS Creșterea capacității de TESTARE COVID. Andreea Moldovan, secretar de stat în MS: testăm mai puțin decât ar fi cazul
BREAKING NEWS Controale la centrele de vaccinare împotriva COVID. ANUNȚUL ministrului Sănătății
BREAKING NEWS Vlad Voiculescu, VACCINARE COVID: cifrele nu arată rău. Suntem în top 10 la nivel european
Ministrul Sănătății Vlad Voiculescu a declarat miercuri, 27 ianuarie, că sunt circa 530.000 de români vaccinați.
Te dor articulațiile de la frigul de afară? Iată ce ai de făcut
SOMATROPINUM - prospect
RIVASTIGMINUM - prospect
RIVASTIGMINUM - prospect. Acțiune: inhibitor al acetilcolinesterazei la nivel SNC, cu creşterea neurotransmisiei colinergice.
Colegiul Medicilor din România, AVERTISMENT privind ”tratamentele-minune” COVID: doctorii să prescrie tratamente conform ghidurilor
RIVAROXABANUM - prospect
RIVAROXABANUM - prospect. Acțiune: anticoagulant oral; inhibă direct factorul Xa, cu întreruperea cascadei coagulării.
Bogdan Oprea, numit consilier al ministrului Sănătății. Ce experiență are
BREAKING NEWS Circa 3.100 de noi îmbolnăviri cu COVID. CIFRELE bilantul de miercuri, 27 ianuarie
Autoritățile au anunțat miercuri, 27 ianuarie, 3.174 de noi îmbolnăviri cu infecția COVID.
Când simptomele hipertensiunii sunt confundate cu menopauza la femei. Medic: e adesea etichetată ca stres
De ce oamenii din țările bogate suferă mai mult de fibrilatie atrială. CAUZELE
BREAKING NEWS Mutații COVID. Medicul Cătălin Apostolescu: sunt împotriva secvențierii de rutină și a modei de a cere secvențiere
Constantin Bălăceanu-Stolnici, pledoarie pentru vaccinare: faceți-vă vaccinul, nu este niciun risc
EXCLUSIV Gheorghe Tache: Această teamă de COVID încă persistă mai ales când auzim că acest virus mai capătă și noi forme
EXCLUSIV Cristina Vlădău, APAN: Pandemia ne-a adus lucruri bune
Se poate ceda locul pentru vaccinarea împotriva COVID? Răspunsul oficialilor
BREAKING NEWS Pe ce criterii s-a făcut reprogramarea celor 35.000 de români la vaccinare. Dr Valeriu Gheorghiță explică
BREAKING NEWS Testări secvențiale la bolnavii cu COVID. Dr Adriana Pistol: este un proces laborios; COSTĂ în jur de 500 de euro
Medicul Adriana Pistol a vorbit despre cum se fac testările secvențiale la bolnavii cu COVID.
BREAKING NEWS Tineri la coadă la vaccinarea împotriva COVID. Dr Valeriu Gheorghiță: Nu este firesc; nu vreau să emit în momentul de față SUPOZIȚII
PERINDOPRILUM + AMLODIPINUM - prospect
De ce trebuie grăbită vaccinarea împotriva COVID. Dr Radu Țincu, avertisment: avem o MARE problemă
TESTOSTERONUM - prospect
TERLIPRESSINUM - prospect
Ivermectina, aprobată în tratarea COVID? Carmen Dorobăț: dacă ar fi validată, categoric aș prescrie
Medicul infecționist Carmen Dorobăț consideră că ivermectina ar trebui aprobată în România, în tratamentul împotriva infecției COVID.
DESCOPERIRE majoră în tratarea COVID: colchicina, antiinflamatorul eficient în prevenirea complicațiilor
Primele semne ale Alzheimer în trunchiul cerebral. DESCOPERIREA cercetătorilor
Brigitte și Florin Pastramă, bolnavi de două ori cu COVID. ”Florin a crezut că moare, am chemat salvarea”
Brigitte și Florin Pastramă susțin că s-au îmbolnăvit de două ori cu infecția COVID.
Simptome post-COVID. Dr Ion Ștefan: avem acum foarte multe cazuri de infecție cu Clostridioides difficile
BREAKING NEWS O nouă tranșă de vaccinuri Pfizer, ajunse în România. Cum au fost distribuite pe centre
95.940 doze de vaccin de la Pfizer BioNTech au sosit marți, 26 ianuarie, în România, pe aeroporturile din Otopeni, Cluj-Napoca și Timișoara.
Alexandru Rafila: ”E ceva ce nu se leagă” în raportările zilnice ale bilanțului COVID
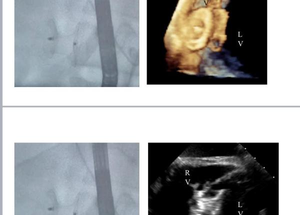
EXCLUSIV Procedură rară, salvatoare de vieți la C.C Iliescu. Dr Dan Deleanu: Sunt printre cele mai grele intervenții din cardiologia intervențională
Vaccinare COVID. Ministerul Sănătății: eficacitate 95% nu înseamnă că vaccinul dă greș în 5% din cazuri
295 de doze de vaccin împotriva COVID, DISTRUSE în Cluj. Cauza
EXCLUSIV Contribuția unui român la descoperirea ce a luat Nobelul în 2019. Prof. Mircea Ivan: de multe ori am găsit mecanisme fundamentale în boli rare
SOLIFENACINUM + TAMSULOSINUM - prospect
-
Turmeric: ce beneficii are și după cât timp se elimină din corp
26 noi 2025, 16:45 -
Ambalajele "BPA-free" pot afecta celulele umane: riscuri subestimate
26 noi 2025, 15:39 -
-
Prebiotice ieftine care îmbunătățesc memoria după 60 de ani
26 noi 2025, 12:51 -
Diabetul crește de patru ori riscul de cancer de vezică
26 noi 2025, 11:44
