Articole publicate de Dana Lascu
BREAKING NEWS Coronavirus, ALERTĂ! Mesaj important pentru BUCUREȘTI, URZICENI, BUZĂU, BRĂILA și GALAȚI!
BREAKING NEWS Coronavirus: 11 CAZURI de infecție confirmate în România!
Au fost confirmate alte două cazuri de persoane care sunt infectate cu noul coronavirus (COVID-19), numărul cazurilor ajungând astfel la 11.
Hipertensiunea: Trei motive să-ți reduci tensiunea, în afară de infarct și AVC
În afară de infarct și de AVC, hipertensiunea poate avea multe alte efecte nefaste în organism. Iată trei dintre ele la care poate nu te-ai fi gândit:
Dr Mihaela Bilic: Cele mai bune mâncăruri românești. De ce preferăm să ne gătească alții
Rafila: Nu există tratament special pentru coronavirus; vaccin poate vom avea într-un an
Prof Dr Alexandru Rafila a explicat cu ce sunt tratați pacienții români infectați cu coronavirus și că un vaccin eficient nu putem avea mai devreme de un an.
Cei 6 români de pe vasul Diamond Princess, ținuți în carantină la București, au plecat acasă
Coronavirus: pragul psihologic de 100.000 de cazuri, DEPĂȘIT! Rafila: Mortalitatea de 4%, îngrijorătoare
OMS: Trebuie să încetinim epidemia de Coronavirus. Sărim de 100.000 de cazuri
Cazul al 9-lea de CORONAVIRUS în România! Tocmai a fost confirmat
Al 9-lea caz de infecție cu coronavirus a fost confirmat în România. Este tot un român întors în țară din străinătate.
Coronavirus: Primii doi pacienți infectați din Timișoara, externați
Primii doi pacienți infectați cu noul coronavirus Covid-19 au fost externați, la Timișoara. Alți doi rămân în spital
BREAKING NEWS Alertă! Al 7-lea caz de coronavirus în România! O colegă a băiatului de 16 ani, depistată pozitiv
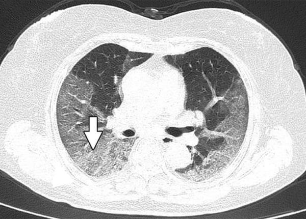
Pneumonia dată de coronavirus, cum afectează plămânii. Constatări făcute la CT
Operația bariatrică crește riscul de fracturi. Obezitate
Operația bariatrică - în mod special un anume tip de intervenție chirurgicală pentru pierdere în greutate - crește riscul de fracturi osoase.
BREAKING NEWS Român din Italia, infectat cu coronavirus. Informații de ultimă oră
Precizari caz confirmat - un român infectat cu coronavirus în Italia. Starea sa:
Coronavirus: doi cetățeni izolați, amendați pentru că s-au dus să-și ia pașapoartele
După cazul din Galați, alți doi români veniți din Italia la Deva, prinși că au încălcat izolarea, au fost amendați cu 20.000 de lei!
Coronavirus: Primul deces cauzat de Covid-19 în Marea Britanie
Coronavirus, OMS: Epidemia de Covid-19 poate fi ținută sub control
AVC, terapia cu muzică poate ameliora funcțiile cerebrale și motorii ale pacienților
Terapia cu muzică poate ameliora funcțiile cerebrale și motorii ale pacienților care au suferit accidente vasculare cerebrale – AVC-, arată un nou studiu.
Rozalina Lăpădatu, APAA: Adevărul despre bolile autoimune. Azi ești bine mersi, mâine ești legumă
Rozalina Lăpădatu, președintele Asociației Pacienților cu Afecțiuni Autoimune (APAA), explică, pe scurt, ce înseamnă viața unui pacient cu o boală autoimună.
Salariat al unei instituții de stat, depistat cu tuberculoză. DSP Olt, măsuri
Coronavirus: Bărbat care trebuia să stea izolat, amendat cu 10.000 lei pentru că DSP-ul nu l-a găsit acasă
Un bărbat care se întorsese din Italia și care trebuia să stea izolat la domiciliu 14 zile a fost amendat de inspectorii DSP Galați pentru că a ieșit din casă!
Coronavirus, România: Din 6 pacienți infectați, 3 s-au vindecat! Unul a plecat deja acasă
Coronavirus: Noul SALUT ca în Wuhan, nu mai dăm noroc și nu ne mai pupăm pe obraz! Video VIRAL
Coronavirus: O femeie a băgat bancnotele la microunde ca să le dezinfecteze
Streinu-Cercel: Vorbim deja de PANDEMIE cu coronavirus! Scenariul cel mai grav, măsuri
Coronavirus: Italienii închid TOATE școlile. Au 107 decese și peste 3.000 de persoane infectate
In memoriam: 17 ani de la accidentul cu elicopterul SMURD de la Cojocna. 4 salvatori au pierit atunci
Insomnie: nu puteți dormi? Prebioticele ar putea ajuta
Un studiu legat de insomnie arată că anumite prebiotice pot influența metaboliții intestinali, atenuând stresul și ducând la un somn mai bun.
Raed Arafat, Coronavirus: Nu punem orașe în carantină, știm de unde vin cazurile. 10.771 de persoane izolate
BREAKING NEWS Covid-19: Al șaselea român cu coronavirus, depistat la Suceava!
Al șaselea român infectat cu noul coronavirus - Covid-19 - ar fi fost depistat la Suceava, a confirmat secretarul de stat Raed Arafat, șeful DSU.
Alegeri în Colegiile locale ale Medicilor. Lista pe județe cu datele la care se organizează scrutinul
Traumatismul cranio-cerebral: simptome, complicații neprevăzute și sechele
Dieta corectă: la ce ore să mănânci ca să-ți poți controla greutatea
Cum îți reduci riscul de Alzheimer. Sfaturi utile
O combinație de obiceiuri sănătoase pare să fie cheia pentru a-ți reduce riscul de Alzheimer, arată specialiștii.
Coronavirus, Spania: Primul deces datorat infecției cu Covid-19. Sunt 3.159 de decese la nivel mondial
Neurorecuperarea pacienților cu traumatism cranio-cerebral. Neurolog, explicații
Coronavirus: OMS, semnal de alarmă. Stocurile de echipamente de protecție se epuizează rapid
În lupta cu noul coronavirus Covid-19, stocurile de echipamente de protecție se epuizează rapid, a avertizat astăzi OMS.
Prof dr Leonard Azamfirei, desemnat pentru a treia oară rector al UMFST Târgu Mureș
Prof univ dr Leonard Azamfirei a fost desemnat astăzi, pentru a treia oară consecutiv, rector al UMFST „George Emil Palade” din Târgu Mureș.
BREAKING NEWS Sorina Pintea, imagini șocante. Dusă în cătușe la Spitalul Ministerului de Interne
Sorina Pintea, fostul ministru al Sănătății, vizibil afectată de boală, a fost adusă cu o mașină a Poliției la Spitalul Ministerului de Interne din Capitală.
OMS, Coronavirus: Deocamdată nu recomandăm amânarea Jocurilor Olimpice din Japonia
Raport, igienă: Copiii români din mediul rural, acces limitat la apă și săpun
Ebola, OMS: De două săptămâni nu a mai fost înregistrat niciun nou caz în Africa
Directorul OMS, dr Tedros Adhanom Ghebreyesus a anunțat în briefingul de presă organizat astăzi, la Geneva, că epidemia de Ebola din Africa pare să se termine.
Coronavirus, România: 37 de persoane în carantină, mii sunt izolate. Situația oficială
Sorina Pintea, din nou la spital. Starea sa de sănătate de agravează
Fostul ministru al Sănătății, Sorina Pintea, va fi transportată din nou la spital pentru că starea sa de sănătate s-a agravat în arestul Poliției Capitalei.
Infertilitate masculină: tratamentul cu suplimente cu antioxidanți, mit spulberat
Mitul suplimentelor cu antioxidanți, spulberat: în infertilitate masculină, sarcină sau natalitate nu au efectul mult lăudat!
Hipersomnolență, riscuri: Părinții sau bunicii sunt somnoroși ziua? Ce boli riscă să facă
Părinții sau bunicii care manifestă hipersomnolență au un risc ridicat de a dezvolta anumite boli grave. Iată ce arată un studiu
Coronavirus: Carantina pe nava Diamond Princess, măsură discutabilă. Prea mulți oameni infectați
Cercetătorii au ajuns la concluzia că punerea în carantină a pasagerilor de pe nava Diamond Princess a dus la infectarea mai multor persoane.
Coronavirus, OMS: De aproape nouă ori mai multe cazuri în afara Chinei în ultimele 24 de ore
Traumatismul cranio-cerebral, peste 10 milioane de cazuri noi. Nevoia de recuperare
-
Descoperirea care schimbă medicina: cromozomul Y „dispare”
21 feb 2026, 12:19 -
Cum să scapi de ploșnițe. Sfaturile experților
21 feb 2026, 11:30 -
Studiu: bacteriile intestinale pot reduce anxietatea
21 feb 2026, 10:30 -
De ce să aplici crema de față pe tenul umed
21 feb 2026, 09:00 -
Soluția asta te scapă de calcar. Ai nevoie de 2 ingrediente banale
20 feb 2026, 22:01
