Tratamente
Deschiderea unui punct de transfuzii sanguine în municipiul Vaslui, întârziată
Angajații de la Ambulanța se pregătesc să iasă în stradă. Calendarul protestelor
Nașterea naturală versus cezariană: cu ce bacterii intestinale se nasc bebelușii
Aparatul RMN a ajuns la Sighetu Marmației. Într-o lună ar putea fi funcțional
Spitalul Municipal din Sighetu Marmației are aparat cu rezonanță magnetică (RMN). În maxim o lună, acesta va fi funcțional, speră autoritățile.
Imunizare antigripală: de două ori mai multe doze de vaccin față de anul trecut, în Olt
Medic ieșean, condamnat pentru luare de mită și abuz în serviciu
Un medic ieșean a primit o condamnare de trei ani cu suspendare, pentru luare de mită. El a fost găsit vinovat de luare de mită și abuz în serviciu.
Miting de sensibilizare, organizat de Federația Națională Sindicală ”Ambulanța” din România
Regizorul Alexandru Darie a încetat din viață
Peste 300 de medici, la Conferinţa de Imuno-Onco-Dermatologie; vor fi prezentate premiere medicale
Medic din Cluj, sub control judiciar pentru luare de mită. Ce a făcut doctorul
Procurorii DNA a dispus punerea sub control judiciar, pentru două luni, a unui medic din Cluj acuzat de luare de mită în formă continuată.
Acizi grași omega-3: unde se mai pot găsi, înafară de pește
Peștele este cunoscut ca fiind ca mai bună sursă de acizi grași omega-3, dar mai nou, specialiștii se interesează și de alte surse, cel puțin la fel de bogate.
Ziua Mondială a Siguranței Pacientului, la SUUB
Medic la Centrul de Transfuzie Sanguină Covasna: educaţia privind donarea de sânge este sub nivelul mării
Un medic de la Centrul de Transfuzie Sanguină Covasna susține că puțini tineri donează sânge și consideră că lipsa educației ar fi explicația.
Paracetamol luat în timpul sarcinii, posibile probleme de comportament la copil mai târziu
Spitalul de Psihiatrie din Sibiu va avea un nou ambulatoriu: proiect de 11 milioane de euro
Spitalul de Psihiatrie Sibiu va avea un ambulatoriu de specialitate nou-nouț. Investiția de aproape 11 milioane de euro este din fonduri europene.
Regizorul Ducu Darie, în stare gravă. Are nevoie de transplant de ficat
Regizorul Ducu Darie se află în continuare în spital, de 11 zile. Regizorul suferă de ciroză și are nevoie urgentă de un transplant, potrivit unor surse.
Investiții de aproape un milion de euro, pentru aparatură ultramodernă în ortopedie
ADEM, replică: Ministerul Sănătății propune interzicerea temporară a exportului fără respectarea legislației
Campanie informativă de Ziua Mondială pentru Siguranţa Pacientului
Ziua Mondială pentru Siguranţa Pacientului se va marca pe 17 septembrie, pentru prima dată în România, printr-o campanie de conștientizare.
Eliminarea prețului de referință la generice, MILIARDE de euro economie și ACCES mult mai mare la terapii
Zona zoster, simptome şi diagnostic. Ce trebuie să știi
Ambulanță SMURD: donată pompierilor din Cluj, de ziua lor. Cât a costat aceasta
O asociaţie din Cluj a donat, joi, 13 septembrie, de Ziua Pompierilor, o a doua ambulanţă SMURD în valoare de câteva mii de euro.
Spitalul Elias în cazul Mario Iorgulescu: se menține posibilitatea unei evoluții nefavorabile
Reprezentanții Spitalului Universitar de Urgenţă Elias precizează că în cazul lui Mario Iorgulescu se impune continuarea tratamentului la Terapie Intensivă.
Noi investiții, finalizate la Spitalul Județean din Baia Mare
O nouă investiție a fost finalizată la Spitalul Județean de Urgență din Baia Mare. Serviciul de Anatomie Patologică are o nouă Prosectură.
125 de citostatice și 47 de imunosupresoare, interzise la EXPORT. Pintea, ANUNȚUL MOMENTULUI
Infecție. Cum a ajuns un copil de 11 ani să moară din pricina unui cui
Un copil de 11 ani din județul Suceava a murit în Spitalul Judeţean de Urgenţă după ce, în timp ce se afla la joacă s-a înţepat într-un cui.
Secții de arși, deschise la Iași și Timișoara
Două secții de arși vor fi deschise în cursul acestei luni la Iași și Timișoara. Anunțul a fost făcut de ministrul Sănătății, Sorina Pintea.
526 de medicamente noi introduse în România. Ministerul Sănătății a aprobat prețurile
Scleroza multiplă: peste 15 milioane de lire sterline, donație de la autoarea J.K. Rowling, pentru cercetare
Gelul Picato, folosit pentru keratoza actinică, reevaluat de EMA pentru că ar da cancer de piele
Antoneta Ioniţă: Securitatea personalului de pe ambulanță, pusă în pericol de modul defectuos de colaborare cu poliția
Metformina, medicamentul care are un efect doar la femei. De ce bărbații nu au aceleași beneficii
Metformina pare să aibă efectul de regenerare a celulelor neuronale doar la femei, datorită prezenței unor hormoni feminini.
Omega 3 ar putea ajuta tratarea depresiei. Studiu
Hunedoara: Fonduri pentru investiţii şi dotări în mai multe secţii ale Spitalului Judeţean de Urgenţă
APAH-RO: Bolnavii cu hepatită C, în pericol să nu-și poată primi tratamentul
Riscul de diabet, diferit în funcție de etnie
Boli de inimă. Spitalul de Recuperare Cardiovasculară din Covasna va avea muzeu
Vitamina E, de ce este atât de importantă în organism și de unde o obții
Afecțiune pulmonară rară. Nintedanib, noua pastilă aprobată de FDA pentru sclerodermie
Opioide: când sunt predispuși medicii să le prescrie și de ce
EXCLUSIV Bolile pe care le iau copiii de la şcoală. Doctorul Bogdan Popescu explică cum pot fi evitate
Dapagliflozin, medicament pentru diabet cu rezultate remarcabile în tratarea insuficienţei cardiace
Aderența la medicație scade riscul de deces sau de spitalizare
Depresia, anxietatea, ameliorate prin activități de grădinărit
Vâlcea: Centrul de terapie pentru copiii cu autism din Râmnic, desfiinţat din lipsă de personal specializat
Americanii cumpără materiale sanitare pentru satele sărace și izolate din Deltă. Donație de 10.000 de dolari
Comandamenul european al Statelor Unite acordă 10.000 de dolari pentru materiale sanitare destinate locuitorilor din satele izolate ale Deltei Dunării.
Testări gratuite ale glicemiei şi tensiunii arteriale - până sâmbătă, în Parcul Floreasca
România, locul I în UE privind numărul deceselor ce puteau fi evitate
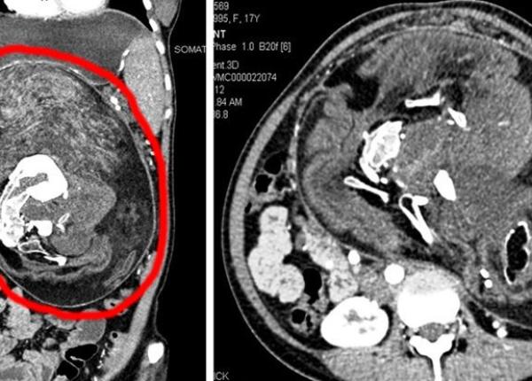
Caz medical rar: tânăra care a trăit 17 ani, având în abdomen resturi din fratele parazitar
O tânără din India a purtat în abdomen până la 17 ani resturi din fratele ei geamăn parazitar, din viața intrauterină. Cazul este extrem de rar.
- 
                        
 - 
                        
 - 
                        
Pastila care ar putea opri complicațiile diabetului
03 noi 2025, 21:00 - 
                        
Gestul simplu care poate încetini îmbătrânirea creierului cu până la 20%
03 noi 2025, 20:03 - 
                        
 
